目次


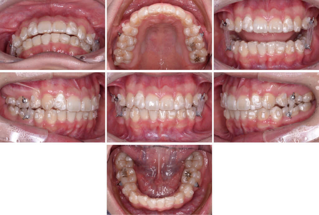
上下の歯列にガタガタ(叢生)が見られます。
上顎左右の3番目の歯は外側に張り出し、八重歯の状態です。

左右上顎、左下に8番(親知らず)が埋伏しています。
歯の数は正常です。

治療が必要な虫歯はありません。

左右の大きなずれは確認できません(やや右下がり)。

・顔貌に対して、上顎前歯の正中は1mm右側にずれています。
・正面から見たとき前歯の平面は左下がりになっています。
・横顔で口唇の前突感は認められません。
・横顔で、口唇が鼻と顎を結んだライン上に位置しています。

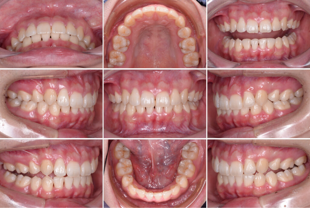
臼理想的には上顎第二小臼歯咬頭(赤い線)と下顎第二小臼歯遠心面(黒い線)が一致しているとされています。
奥歯の前後的な噛み合わせは正常です。

CTから歯根と骨の状態を確認して歯根の移動の距離を決定します。


上下顎小臼歯を抜歯してスペースを確保して上下顎前歯を後方に引いて歯列を並べる計画としました。


マウスピースは7日交換。
上下左右の小臼歯を抜歯しました。

アタッチメントを装着しました。

1回目のマウスピースがほぼ終了しました。


マウスピースは7日交換。






下顎の奥歯が起き上がりました。


マウスピースは7日交換.。
奥歯をさらにしっかり咬ませるために、左右ともV字で顎間ゴムを装着しました。



マウスピースは7日交換。

V字の顎間ゴムで奥歯が噛み込んでいきます。


八重歯が綺麗に治り、奥歯もしっかり咬ませることができました。








| 年代・性別 | 20代・男性 |
| 治療期間 | 2年6ヶ月 |
| 治療費用 | 880,000円(税込) |
| リスク・副作用 | 指定した時間、マウスピースを付けていただけない場合は治療期間が長くなる場合があります。 |
歯並びのガタガタ(叢生)が多く、上下とも小臼歯の抜歯が必要な患者様でした。
マウスピース矯正の場合、抜歯した歯の後の歯が前方に傾いてしまうことがあり、その歯を起き上がらせるために顎間ゴムを使用しました。
八重歯もなくなり、患者様にとても喜んでいただけました。
今回は顎間ゴムのみで対応しましたが、場合によってはワイヤー矯正治療が必要なときもあります。マウスピース矯正のみの技術では治せない患者様もいますので、マウスピース矯正とワイヤー矯正の両方の技術がある歯科医師に矯正治療をしてもらうことをお勧め致します。
【この記事の執筆と監修者】

こうつ歯科・矯正歯科 (大阪府吹田市)理事長
CiAO マウスピース矯正勉強会 代表(歯科医師向け)
インビザライン プラチナプロバイダー
高津 充雄(歯科医師)(こうつ みつお)
歯ならびで後悔する人をなくしたいという想いで、 歯列矯正を安全に行うための知識を発信しています! 矯正治療では歯ならびを綺麗にするだけではなく、口元まで美しく整えることを心がけています。 可愛く・格好良くなっていただけるように、精密な診断とシミュレーションを活用して治療を行います。
