目次



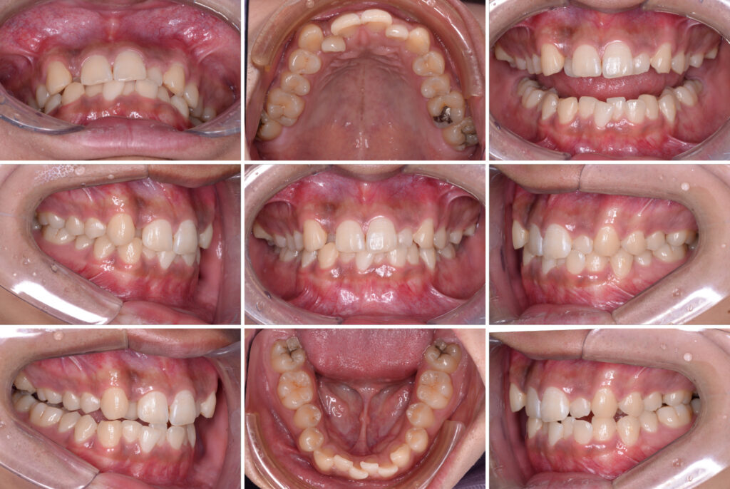
上下左右に8番(親知らず)が4本埋まっています。

治療が必要な虫歯があります。
基本的には矯正治療の前に虫歯治療をします。

正面から見て下顎の傾きは見られません。

・顔貌に対して、上顎前歯は2mmほど右へずれています。
・正面から見たとき前歯に傾きは見られません。
・横顔で口唇の前突感はありません。
・横顔で、下顎の口唇が鼻と顎を結んだラインより後方に位置しています。

異常なし。

理想的には上顎第二小臼歯咬頭(赤い線)と下顎第二小臼歯遠心面(黒い線)が一致しているとされています。
歯と歯の間を削合しスペースを確保し、歯列を並べます。
(上下左右8番は矯正治療後に抜歯予定)




振動タイプの加速装置使用、6日交換。










振動タイプの加速装置使用、5日交換。

歯並びが綺麗になりました。










| 年代・性別 | 20代・男性 |
| 治療期間 | 9ヶ月 |
| 治療費用 | 880,000円(税込) |
| リスク・副作用 | 指定した時間、マウスピースを付けていただけない場合は治療期間が長くなる場合があります。 |
歯並びのガタガタ(叢生)が多い患者様でしたが、お口が前に出ていないため、抜歯矯正をすれば口元が後ろに下がり過ぎると判断し、非抜歯でのマウスピース矯正をする計画を立てました。
歯を並べるためのスペースは、歯と歯の間をエナメル質の範囲で最小限に削り、スペースを確保しました。
患者様のご協力もあり、1年以内に治療が終了しました。
下の前歯の黒い隙間が気になるとおっしゃり、コンポジットレジンという詰め物をすることで、隙間を埋めて綺麗に仕上がりました。
短い治療期間できれいな歯並びになり、とても喜んでくださいました。
【この記事の執筆と監修者】

こうつ歯科・矯正歯科 (大阪府吹田市)理事長
CiAO マウスピース矯正勉強会 代表(歯科医師向け)
インビザライン プラチナプロバイダー
高津 充雄(歯科医師)(こうつ みつお)
歯ならびで後悔する人をなくしたいという想いで、 歯列矯正を安全に行うための知識を発信しています! 矯正治療では歯ならびを綺麗にするだけではなく、口元まで美しく整えることを心がけています。 可愛く・格好良くなっていただけるように、精密な診断とシミュレーションを活用して治療を行います。
