目次


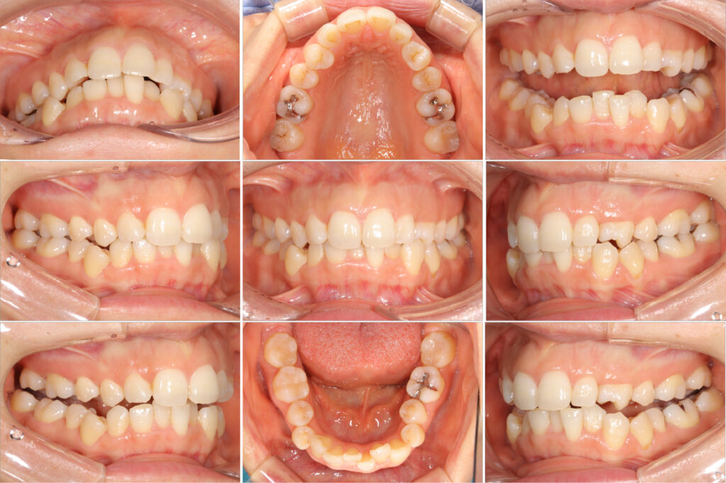
上下の歯列にガタガタ(叢生)が見られます。
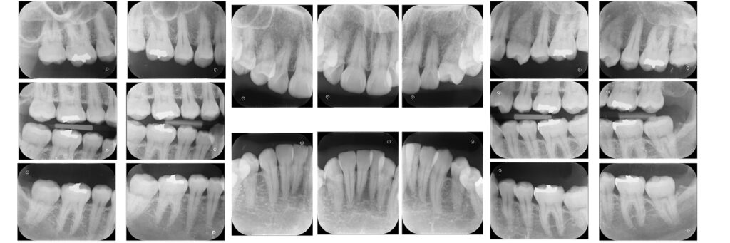
上顎左右の3番目の歯が欠損しています。
左上4番が大きく捻転しています。

上顎左右の3番目の歯が欠損しています。

治療が必要な虫歯はありません。

大きな顎の骨の歪みはありません。

・顔貌に対して、上顎前歯は1mmほど右へずれています。
・正面から見たとき前歯に傾きは見られません。
・横顔で唇の前突感がややあります
・横顔で、下顎の口唇が鼻と顎を結んだラインより前方に位置してます。

理想的には上顎第二小臼歯咬頭(赤い線)と下顎第二小臼歯遠心面(黒い線)が一致しているとされています。
上顎歯列全体が前方にありますが、上顎左右3番が欠損のため、全体的なバランスは取れています。

CTから歯根と骨の状態を確認して歯根の移動の距離を決定します。

歯と歯の間を削合しスペースを確保し、歯列を並べます。
(矯正期間:2年程度)




7日ごとにマウスピースを交換。



左上4番の捻転が改善しました。


7日ごとにマウスピースを交換。



歯並びは綺麗になりました。
ここから奥歯をしっかり咬ませていきます。


7日ごとにマウスピースを交換。

奥歯がシミュレーション通りに咬合してきていません。

奥歯にVの字でゴムを装着して奥歯を咬ませていきました。




矯正治療終了。
奥歯がしっかり咬合しました。

歯並びのガタガタもなくなり綺麗に並びました。
奥歯の咬合状態も良好です。




| 年代・性別 | 30代・女性 |
| 治療期間 | 2年3ヶ月 |
| 治療費用 | 880,000円(税込) |
| リスク・副作用 | 指定した時間、マウスピースを付けていただけない場合は治療期間が長くなる場合があります。 |
歯並びのガタガタ(叢生)が気になるとのことで来院されました。
元々、上顎左右の3番目の歯が先天欠如しており、上下で歯の数が異なりました。
上下の歯列のバランスを合わせるためと、下顎のガタガタ(叢生)を綺麗に並べるために、下顎の歯と歯の間を削合しスペースを作って綺麗に並べました。
左上の捻転している歯は、アタッチメントを2箇所に設置することで回転させて治しました。
矯正の後半では、マウスピースにカットを入れてVの字でゴムをかけることで歯を挺出させて、奥歯をしっかり咬合させました。
【この記事の執筆と監修者】

こうつ歯科・矯正歯科 (大阪府吹田市)理事長
CiAO マウスピース矯正勉強会 代表(歯科医師向け)
インビザライン プラチナプロバイダー
高津 充雄(歯科医師)(こうつ みつお)
歯ならびで後悔する人をなくしたいという想いで、 歯列矯正を安全に行うための知識を発信しています! 矯正治療では歯ならびを綺麗にするだけではなく、口元まで美しく整えることを心がけています。 可愛く・格好良くなっていただけるように、精密な診断とシミュレーションを活用して治療を行います。
