目次


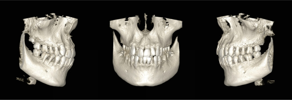
上下顎とも歯並びのガタガタ(叢生)が強いです。
上下の正中が一致ずれています。

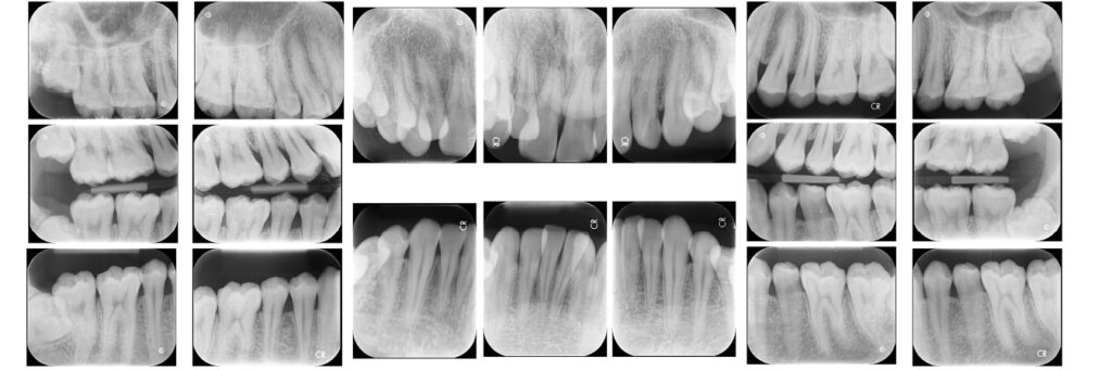
上下左右に8番(親知らず)が残存しています。
歯の数は正常です。

虫歯は矯正前に治療しました。


・顔貌に対して、上顎前歯の正中は2.5mm右側に位置しています。
・正面から見たとき前歯の平面に傾きは見られません。
・横顔で口唇の前突感はありません。
・横顔で、口唇が鼻と顎を結んだラインより後に位置しています。

異常なし。

臼理想的には上顎第二小臼歯咬頭(赤い線)と下顎第二小臼歯遠心面(黒い線)が一致しているとされています。
奥歯の前後的な関係は正常です。


CTから歯根と骨の状態を確認して歯根の移動の距離を決定します。
歯と歯の間を削合しスペースを確保し、歯列を並べます。
(矯正期間:1年半程度)




振動タイプの加速装置使用。
5日ごとにマウスピースを交換。

下顎の歯列を後方に移動させるために、顎間ゴム(Ⅲ級ゴム)を使用。




歯のガタガタがかなり綺麗になってきました。




1回目のマウスピースだけでここまで綺麗になりました。
ここから仕上げの矯正治療を行っていきます。


振動タイプの加速装置使用。
5日ごとにマウスピースを交換。


歯並びは綺麗になりました。
ここから奥歯をしっかり咬ませていきます。



振動タイプの加速装置使用。
6日ごとにマウスピースを交換。

奥歯をしっかり咬ませるために、Vの字で顎間ゴムを使用します。

歯並びが綺麗になり、奥歯もしっかり咬ませることができました。








| 年代・性別 | 20代・男性 |
| 治療期間 | 1年2ヶ月 |
| 治療費用 | 880,000円(税込) |
| リスク・副作用 | 指定した時間、マウスピースを付けていただけない場合は治療期間が長くなる場合があります。 |
歯並びのガタガタ(叢生)を治したいと希望され来院されました。
ガタガタが多く、上下の前歯の正中のズレがあり、前歯が切端咬合の状態でした。
下顎が前に出ている状態を先に治すため、Ⅲ級ゴムという顎間ゴムを使用し、前後的なズレを修正しました。
最初のマウスピースで正中のズレも治り、後は奥歯をしっかり咬ませるために追加でマウスピースを作成しました。
1年2ヶ月と短期間で歯並びが綺麗になり、喜んでいただけました。
【この記事の執筆と監修者】

こうつ歯科・矯正歯科 (大阪府吹田市)理事長
CiAO マウスピース矯正勉強会 代表(歯科医師向け)
インビザライン プラチナプロバイダー
高津 充雄(歯科医師)(こうつ みつお)
歯ならびで後悔する人をなくしたいという想いで、 歯列矯正を安全に行うための知識を発信しています! 矯正治療では歯ならびを綺麗にするだけではなく、口元まで美しく整えることを心がけています。 可愛く・格好良くなっていただけるように、精密な診断とシミュレーションを活用して治療を行います。
