目次

下顎が左に偏位しています。

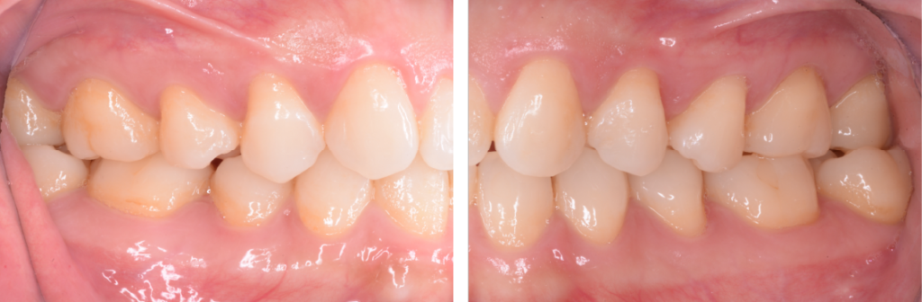
上下の歯にガタガタ(叢生)が見られます。
上下の前歯の正中がずれています。
上下の前歯が当たり、切端咬合になっています。

奥歯の噛み合わせは良好です。

上下の前歯が当たり、切端咬合になっています。


上下顎左右に親知らずがあります。
歯の数は正常です

治療が必要な虫歯は見られません。

レントゲンより、下顎は左側に偏位しています。

・顔貌に対して、上顎前歯の正中は一致しているます。
・正面から見たとき前歯の平面に傾きは見られません。
・横顔で口唇の前突感はありません。
・横顔で、口唇が鼻と顎を結んだライン(Eライン)より後方に位置しています。
・笑った時に歯茎は見えていません。

左側に顎のクリック音があります。
他異常なし。

理想的には上顎第二小臼歯咬頭(赤い線)と下顎第二小臼歯遠心面(黒い線)が一致しているとされています。
奥歯の前後的な位置は正常です。


CTから歯根と骨の状態を確認して歯根の移動の距離を決定します。

歯と歯の間を削合しスペースを確保し、上下の歯を綺麗に並べます。
(矯正期間:1半年〜2年程度)

上下左右の親知らずは抜歯します。




振動タイプ加速装置を使用
5日ごとにマウスピースを交換

下顎の歯列を後方に移動させるために、顎間ゴム(Ⅲ級ゴム)を使用。








振動タイプ加速装置を使用
5日ごとにマウスピースを交換

正中を合わせるために顎間ゴムの方向を変更





振動タイプ加速装置を使用
5日ごとにマウスピースを交換

さらに正中を合わせるために顎間ゴムを継続





振動タイプ加速装置を使用
5日ごとにマウスピースを交換

さらに正中を合わせるために顎間ゴムを継続








下顎の左側の偏位がやや改善しています。


| 年代・性別 | 30代・女性 |
| 治療期間 | 1年1ヶ月 |
| 治療費用 | 880,000円(税込) |
| リスク・副作用 | 指定した時間、マウスピースを付けていただけない場合は治療期間が長くなる場合があります。 |
上下顎ともに歯並びのガタガタ(叢生)は軽度でしたが、上下の前歯の正中が合っていませんでした。
下顎の骨が左に偏位していることが正中が合わない大きな原因のでした。
下顎の骨の偏位がある場合は、矯正治療で歯を綺麗に並べたとしても下顎の偏位は基本的に治らないことを事前に説明し矯正治療を開始しました。
上下の正中を合わせるために、顎間ゴムを左右でゴムのかける方向を変えて使用しました。
矯正後、歯並びが綺麗になり、正中も合いました。正中は今後リテーナー(保定装置)を使用していても後戻りをする可能性をお伝えしています。
正中の改善とともに下顎の偏位もかなり改善した症例でした。
【この記事の執筆と監修者】

こうつ歯科・矯正歯科 (大阪府吹田市)理事長
CiAO マウスピース矯正勉強会 代表(歯科医師向け)
インビザライン プラチナプロバイダー
高津 充雄(歯科医師)(こうつ みつお)
歯ならびで後悔する人をなくしたいという想いで、 歯列矯正を安全に行うための知識を発信しています! 矯正治療では歯ならびを綺麗にするだけではなく、口元まで美しく整えることを心がけています。 可愛く・格好良くなっていただけるように、精密な診断とシミュレーションを活用して治療を行います。
