目次


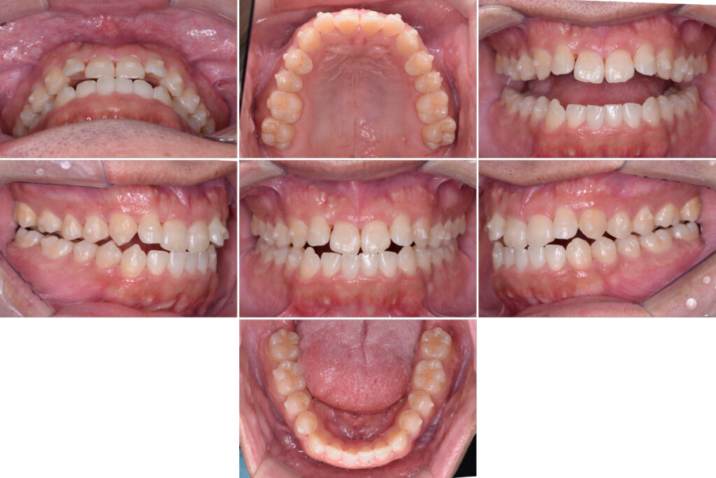
前歯が反対咬合の状態です。

下顎左右に親知らずがあります。
歯の数は正常です。

レントゲンより、下顎の歪みは見られません。

臼歯関係
理想的には上顎第二小臼歯咬頭(赤い線)と下顎第二小臼歯遠心面(黒い線)が一致しているとされています。
奥歯の前後的な位置は正常です。

CTから歯根と骨の状態を確認して歯根の移動の距離を決定します。

上下左右8番を先に抜歯。
マウスピースを使用し歯を綺麗に並べていきます。
(矯正期間:1〜年半程度)


7日ごとにマウスピースを交換。

上顎の前歯が乗り越える時は、前歯同士が当たって奥歯で噛めない期間があります。
患者様には事前に説明しており、この期間は少し食事を工夫していただきました。


上顎の前歯が乗り越えて、奥歯少しずつ噛んできました。


ほぼ綺麗な咬合状態になっています。


7日ごとにマウスピースを交換。



7日ごとにマウスピースを交換。







| 年代・性別 | 30代・男性 |
| 治療期間 | 1年6ヶ月 |
| 治療費用 | 880,000円(税込) |
| リスク・副作用 | 指定した時間、マウスピースを付けていただけない場合は治療期間が長くなる場合があります。 |
前歯の反対咬合が気になるとのことで来院されました。
反対咬合の治療はマウスピース矯正でもよく行います。
上顎の前歯を前に出し、噛み合わせを改善しました。
前歯が出てくる途中では、前歯しか噛み合わず、奥歯で食事をとりにくいことをご説明し、問題なく治療を進めていくことができました。
矯正前と矯正後では歯並びは全く違うくらい綺麗になり喜んでいただけました。
【この記事の執筆と監修者】

こうつ歯科・矯正歯科 (大阪府吹田市)理事長
CiAO マウスピース矯正勉強会 代表(歯科医師向け)
インビザライン プラチナプロバイダー
高津 充雄(歯科医師)(こうつ みつお)
歯ならびで後悔する人をなくしたいという想いで、 歯列矯正を安全に行うための知識を発信しています! 矯正治療では歯ならびを綺麗にするだけではなく、口元まで美しく整えることを心がけています。 可愛く・格好良くなっていただけるように、精密な診断とシミュレーションを活用して治療を行います。
