目次

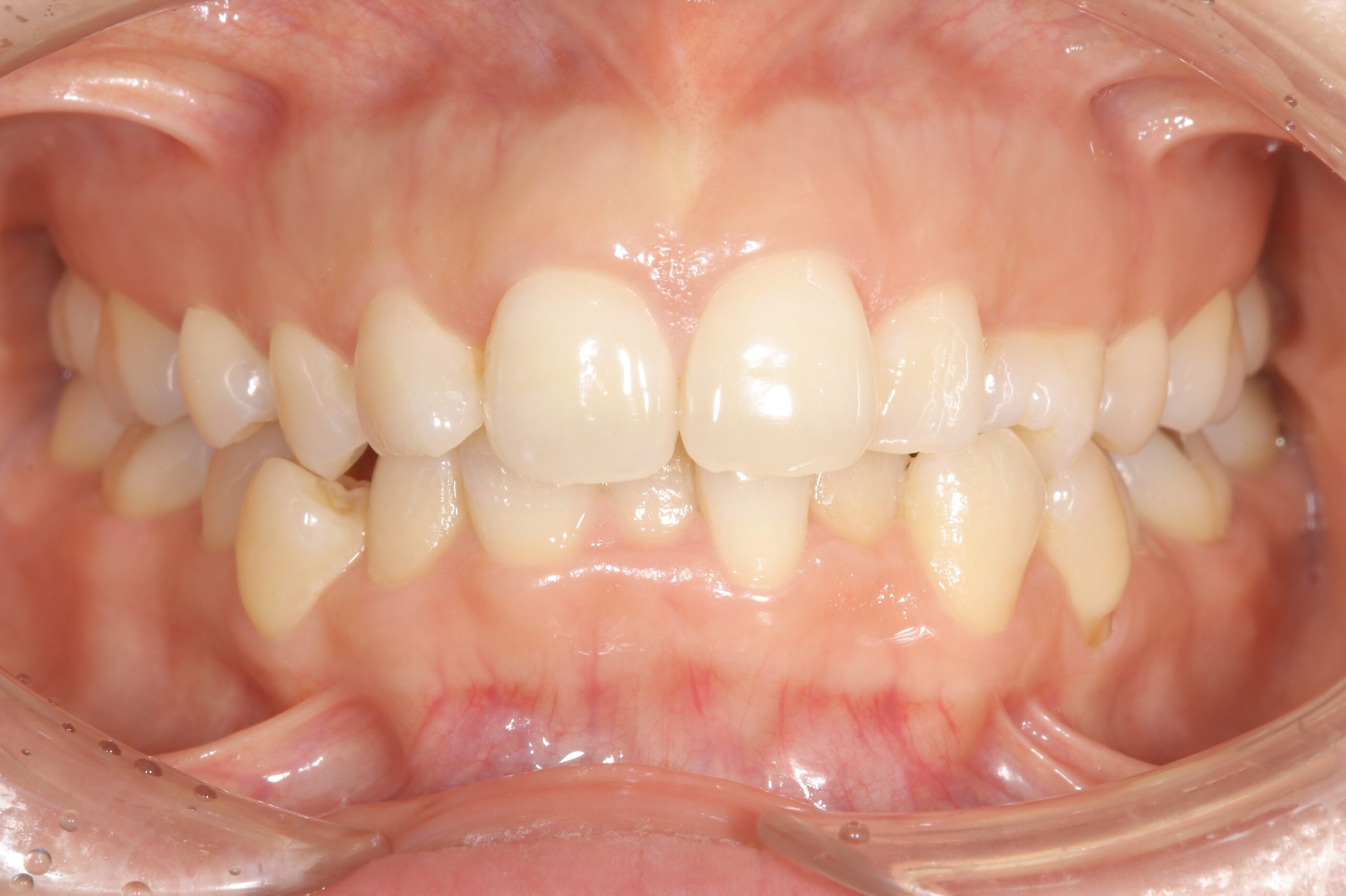
治療前

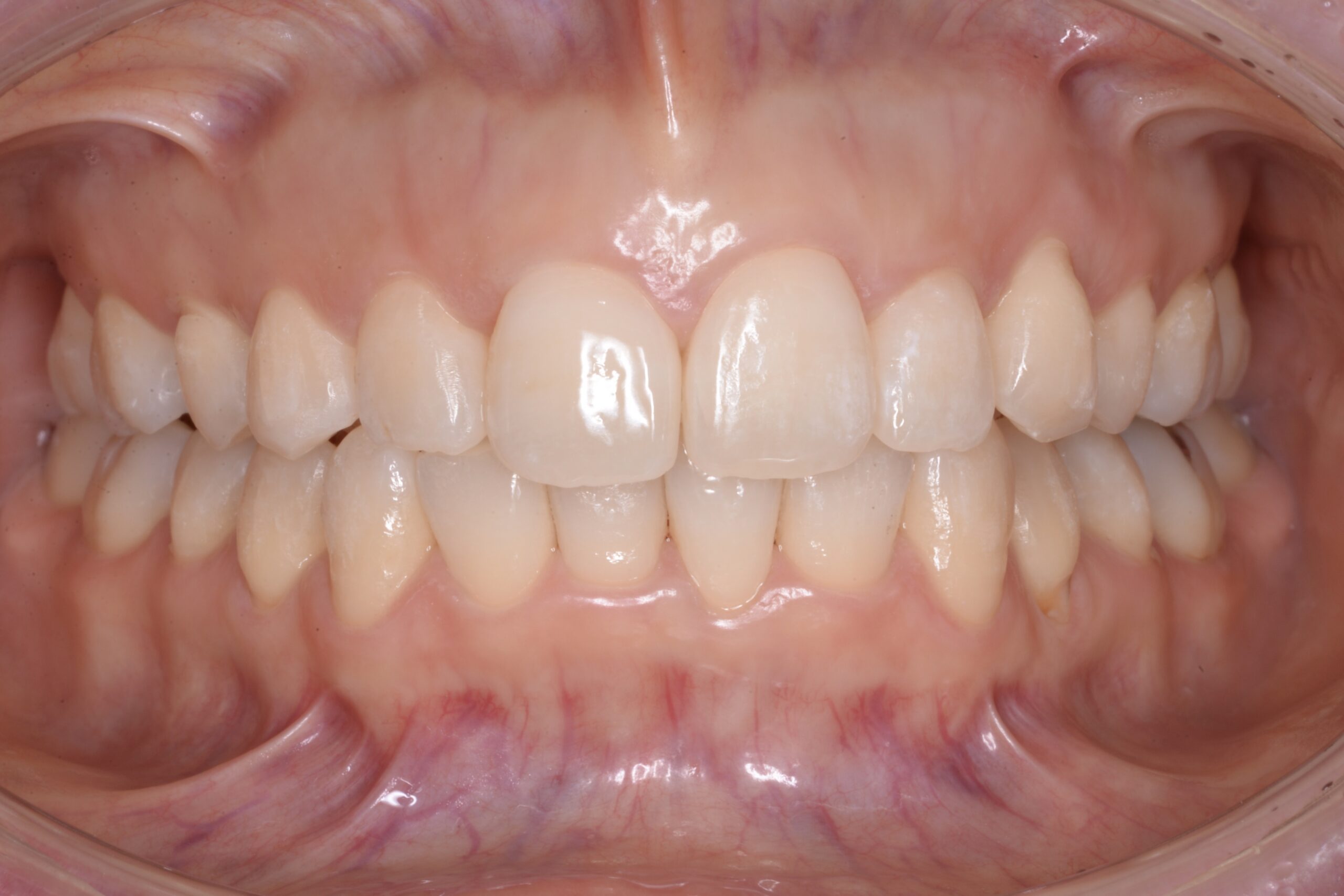
治療後
| 年代・性別 | 30代・女性 |
| 治療期間 | 1年3ヶ月 |
| 治療費用 | 880,000円(税込) |
| リスク・副作用 | 指定した時間、マウスピースを付けていただけない場合は治療期間が長くなる場合があります。 |
現在準備中です。現在準備中です。
【この記事の執筆と監修者】

こうつ歯科・矯正歯科 (大阪府吹田市)理事長
CiAO マウスピース矯正勉強会 代表(歯科医師向け)
インビザライン プラチナプロバイダー
高津 充雄(歯科医師)(こうつ みつお)
歯ならびで後悔する人をなくしたいという想いで、 歯列矯正を安全に行うための知識を発信しています! 矯正治療では歯ならびを綺麗にするだけではなく、口元まで美しく整えることを心がけています。 可愛く・格好良くなっていただけるように、精密な診断とシミュレーションを活用して治療を行います。
